旧版入口ENGLISH
请输入要搜索的内容
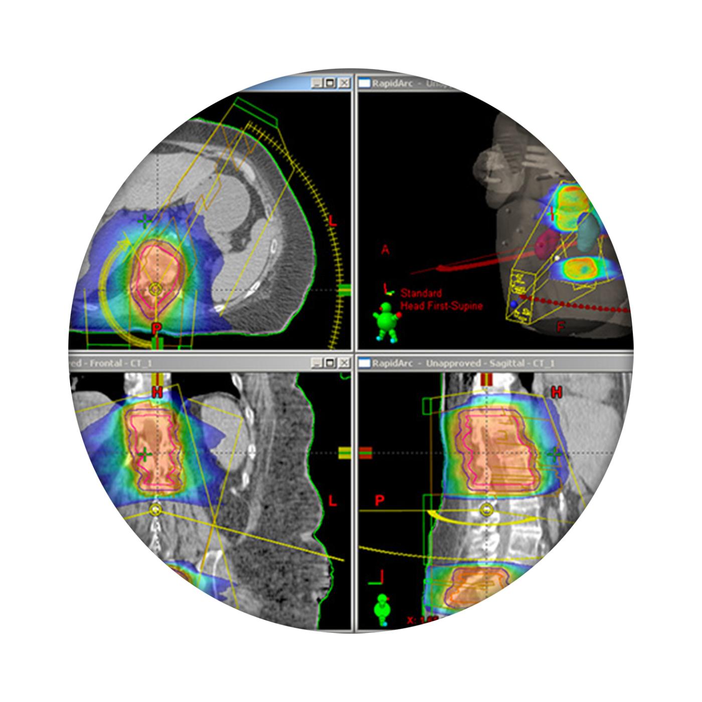
我科 VARIAN Eclipse 治疗计划系统 发布时间:2018/7/5 4:07:00       浏览次数:6867次


VARIAN Eclipse 治疗计划系统



为实现更快的速度、更全面的控制以及更先进的治疗而设计


Eclipse? 治疗计划系统是一种综合全面的系统,支持光子、FFF 射线、质子、电子、体外照射、低剂量率近距离放射治疗和钴治疗等放射治疗。

Eclipse 15.5* 是系统的最新改进,其新增的功能为您提供更快的速度、更全面的控制和更先进的治疗。Eclipse 15.5 能与 Varian LINAC 集成,专为帮助您有效利用机器而设计,使您能更好服务患者。


更快速


Eclipse 15.5 使您能够以快于旧版 Eclipse 的速度实施治疗规划。借助支持 GPU 的算法,您能够减少等待剂量计算的时间,为您省下宝贵的时间来完成其他日常治疗规划任务。


更全面的控制


该版本的 Eclipse 允许您微调自己的计划,为您的患者提供最佳治疗方案。您可以轻松高效地在危及器官最优保护和靶肿瘤覆盖之间寻找平衡,而无需更改您当前的方案。


更先进的治疗


Eclipse 15.5 通过提供最佳的个体化计划,在为患者提供先进的技术解决方案、获得优质临床疗效方面至关重要。

Eclipse 15.5 与新型光子优化功能采用多准则优化 (MCO),可让临床医师查询改变临床标准时会出现的情况,大大增强了对计划优化的控制。此外,其图形处理单元 (GPU) 支持减少了剂量计算和逆向计划的优化时间,大大提高了速度。

Eclipse 使用基于 Windows 的直观界面,可使临床医生通过使用简化的数据设置和简单的拖放功能提高工作效率。Eclipse 通过领先的自动化工具,为临床医生广开治疗大门,使其可针对多种直线加速器创建、导入和优化计划设计。

在瓦里安环境中,Eclipse 集成了 ARIA® 肿瘤学信息系统,实现了工作流程的平稳性、集成化和无缝化。在瓦里安引领放射治疗进入新境界之际,Eclipse 正是专为与之俱进所打造的系统。