核磁具有良好的软组织分辨率,无放射性等优点,因此能更好的显示脑组织、神经、血管、肌腱、乳腺等软组织。目前应用比较广泛,可以应用于全身各个系统。包括核磁共振血管成像、磁共振水成像(胰胆管成像、内耳水成像、泌尿系水成像)、磁共振功能成像(弥散加权成像、灌注加权成像、磁敏感成像、磁共振波谱成像)等等。
壹
适应症
1、颅脑(脑梗死、脑出血、脑肿瘤、脑血管疾病、颅脑外伤等病变)
2、眼及眶区(眼眶前病变、眼外肌病变、视神经病变、眼球病变等)
3、垂体薄层(垂体腺瘤、内分泌失调性等疾病)
4、消化系统(肝、胆、胰、脾、食管、肾脏及胃肠道病变)
5、盆腔(膀胱、子宫、前列腺、卵巢等病变)
6、脊柱(椎管内肿瘤、脊髓病变、颈腰椎间盘等病变)
7、关节(半月板、韧带、神经等病变)

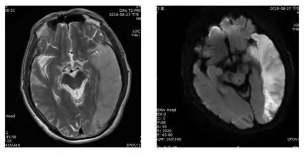
早期脑梗患者
貮
绝对禁忌症
1、带有心脏起搏器、神经刺激器者、人工金属心脏瓣膜等的患者;
2、带有动脉瘤夹者(非顺磁性和钛合金除外)
3、有眼内金属异物、内耳植入、金属假体者、金属关节等;
4、妊娠三月内的早期妊娠者;
5、重度高热患者。

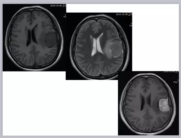
肿瘤患者
叁
相对禁忌症
1、体内有金属异物,如金属植入物、假牙、避孕环、胰岛素泵等。
2、危重病人需要使用生命支持系统者;
3、癫痫患者【应在充分控制症状的前提下进行核磁共振检查】;
4、幽闭恐惧症患者,如必须进行MR检查,应在给于适量镇静剂后进行。
5、不合作患者,如:小儿应在给于适量镇静剂后进行。
6、孕妇和婴儿应征得医生、患者及家属同意后签字再进行检查。
文/图:王佳宁(CT-MRI诊断科)
编辑:董媛媛